Aandoening bij populair kattenras
Scottish Fold Osteochondrodysplasia
De Scottish Fold is een ras dat de laatste jaren flink populairder is geworden. Helaas zien we vaak dat deze dieren last hebben van Scottish Fold Osteochondrodysplasie (SFO). Hieronder leggen we aan u uit wat dit betekent.
Wat is Scottish Fold Osteochondrodysplasia?
SFO is een erfelijke aandoening die voorkomt bij de Scottish Fold. Door deze afwijking zal het kraakbeen niet normaal volgroeien en functioneren. Hierdoor ontstaat ernstige artrose. Dit kan al op jonge leeftijd zichtbaar zijn en leidt ertoe dat aangetaste dieren mank en stijf gaan lopen en minder of niet willen springen.
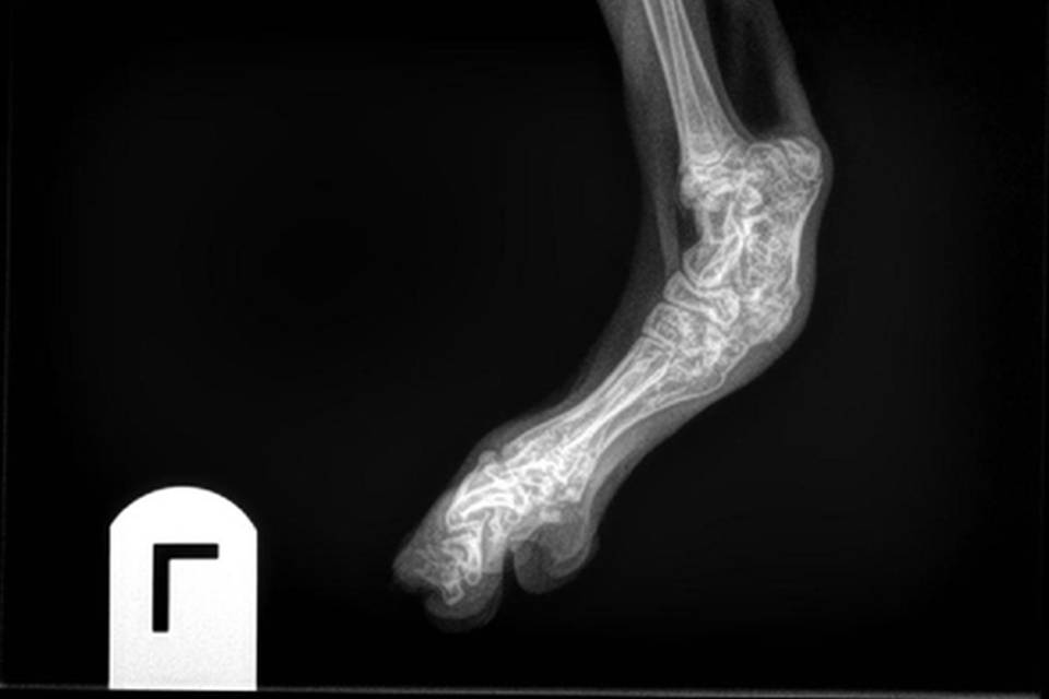
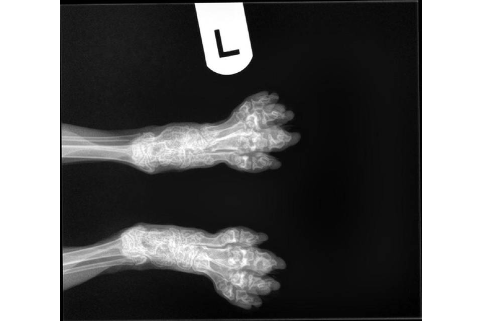
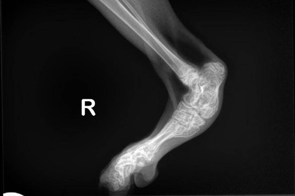
De diagnose kan bevestigd worden door het maken van röntgenfoto's.
Hoe te behandelen?
Er is helaas geen behandeling die de osteochondrodysplasie kan genezen. We focussen ons op het behandelen van de artrose.
De behandeling bestaat onder andere uit; ontstekingsremmers, supplementen, fysiotherapie en gewichtsmanagement. Als de grootste klachten zich in 1 gewricht concentreren dan is er soms een operatie mogelijk waarbij het gewricht wordt vastgezet. Helaas zien we ook wel eens dat katten er zodanig last van hebben dat het eerlijker is om ze in te laten slapen.
Ons advies
Ons advies is om zeker niet te fokken met twee scottish fold katten. Als we eerlijk mogen zijn raden we het fokken met het scottish fold ras helemaal af. Kittens kunnen namelijk ook klachten ontwikkelen als één van de ouders vouw oren heeft. Hoe schattig de oortjes er ook uitzien, het is de pijn niet waard.
Laat Dierenziekenhuis Rotterdam u helpen
Als u zich zorgen maakt over uw kat of graag een nestje zou willen fokken en advies wil vragen maak dan gerust een afspraak via 010 - 492 51 51 of onderstaande knop.
Bekijk meer
Direct contact
Voor direct telefonisch contact of voor het maken van een afspraak zijn wij bereikbaar op:
010 - 492 51 51.




Menu



